sultable for pet hogp tals

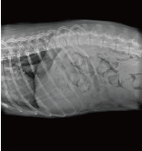
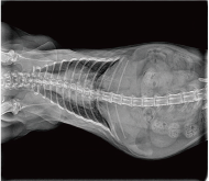
intraduction Pet Static DR BAR-10 is a compact multi-functional digital staticphotographic surgical system, its surgical table thatcan perform surgery can also be X-ray photography.uoroscopy,the bed can be left and right and frontand back exible oating, its easy installation, morespace-saving,can better improve eciency.
Product Feature

The operation table,X-ray photographyand fluoroscopy were integrated

Large dynamic radiography Detectors

Compact structure and small footprint

Hd digital point film, HD fluoroscopy

The operation table can float fromleft to right and front to back

Application

Application